CONDITION

Fibroids: Symptoms, Diagnosis and Surgical Treatment


Uterine fibroids are a common cause of heavy periods, pelvic pressure, and discomfort. Dr Michael Wynn-Williams provides expert diagnosis and minimally invasive treatment options, including laparoscopic fibroid removal.

Fibroids (leiomyoma) are a benign growth of muscle fibres in the uterus (womb). They typically grow into the shape of round balls of abnormal tissue. These growths may occur on the outside of the uterus (subserosal or pedunculated fibroids), in the muscle of the uterus (intramural fibroids), or the endometrial cavity of the uterus (submucosal fibroids).  


Location of fibroids within the uterus

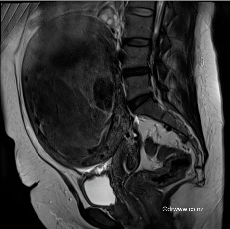
MRI image of a large 15cm fibroid that was managed with a Laparoscopic Myomectomy

  • While the exact cause of fibroids is uncertain, it is likely that several factors contribute to the formation of fibroids, including genetic or familial predisposition, environmental and immunological factors, and in particular, hormonal factors. Generally, a female hormone (oestrogen) causes fibroids to grow. 

  • Fibroids affect up to two in every five women over the age of 40. Fibroids are more common in women with infertility, few or no children. After the menopause, fibroids usually shrink and become less frequent. Under the influence of female hormones, fibroids typically continue to grow until the menopause. In most patients, fibroids do not cause any problems and do not require any treatment. 

  • Most fibroids do not produce any symptoms. However, symptoms may include; Pain with periods, intercourse, when passing urine or opening bowels as well as chronic pelvic and lower back pain; Difficulty falling pregnant (infertility); Abnormal bleeding: irregular or heavy periods, bleeding between your periods. Rarely, fibroids may become cancerous (Leiomyosarcoma, Sarcoma). This most commonly occurs in women after the menopause, but can also occur in women who are having periods and probably occurs in less than 1:1500 cases .

  • Fibroids may be diagnosed at the time of a pelvic examination, such as a Pap smear. Alternatively, the fibroid may be imaged by ultrasound, CT or MRI. MRI can be beneficial in assessing the location and size of individual fibroids

Diagnosing and Further Details about Fibroids

Fibroid Treatment Options

There are multiple treatment options including; Observation of fibroids that don't cause any problems is very acceptable, mainly if the size of the uterus is small.

Fibroids can be treated with medication that induces artificial menopause, during which time the fibroids shrink. Because fibroids rapidly return to pre-treatment size and treatment can only be continued for a number of months. This therapy can only be used in adjunct to other treatment, such as myomectomy. Uterine artery embolization (UAE) is a procedure that is performed by an interventional radiologist and entails cutting off the blood supply to the fibroid so that it shrinks. This is usually performed as a day procedure or short stay admission. The insertion of tubes blocks the blood supply to the fibroids through the vessels in the groin, and no abdominal incision is required. UAE is not appropriate for women who are wishing to conceive in the future.

Dr Wynn-Williams has a particular interest and skill in the surgical management of fibroids. For young women, those that wish to preserve their fertility or difficulty conceiving due to fibroids, then myomectomy performed either Hysteroscopic Myomectomy (Link to Operative Hysteroscopy page) or by Laparoscopy (keyhole) Myomectomy (link to Lap Myomectomy Page) can be very effective management options. Occasionally the surgery cannot be performed through keyhole surgery and is achieved through an open procedure. In the case of women having a laparoscopic or open myomectomy, they must avoid conceiving for six months. They should have a Caesarean Section for delivery to prevent the rare risk of rupture of the uterine scar in labour.

A repaired uterus and the fibroid that was removed laparoscopically.

Some women will ultimately choose to have their uterus removed with their fibroids by Hysterectomy for several different reasons including the size and number of fibroids, heavy menstrual bleeding, and other pathologies such as endometriosis and adenomyosis. In the majority of cases, Dr Wynn-Williams can perform Total (keyhole) Laparoscopic Hysterectomy.

Dr Wynn-Williams will work with you to choose the best medical or surgical management options that are best for you.

Dr Michael Wynn-Williams

MBChB (Otago), FRANZCOG

Gynaecologist, Advanced Laparoscopic Surgeon, Endometriosis and Pelvic Pain Specialist

Dr Michael Wynn-Williams is a highly experienced Auckland gynaecologist and laparoscopic surgeon, specialising in the treatment of endometriosis, fibroids, pelvic pain, and ovarian cysts. With a commitment to minimally invasive surgery and evidence-based practice, he helps women across tNew Zealand achieve better outcomes with empathy, precision, and respect

Previous
Previous

Extra-Pelvic Endometriosis

Next
Next

Abnormal Bleeding