CONDITION
Pelvic Endometriosis
Expert Surgical Care across New Zealand Led by Experienced Auckland Gynaecologist Dr Michael Wynn-Williams
Endometriosis is a condition where endometrial-like tissue (membrane that lines the uterus) forms outside of the uterus. It is mainly found within the pelvic peritoneum (tissue that lines the pelvis), in the ligaments supporting the womb and the ovaries, and also less commonly in the appendix, bowel, or bladder. On rare occasions, we can also find endometriosis in the abdominal wall, belly button, liver, diaphragm, and lungs. Endometriosis is staged between the mildest form (level 1) to the severest form (level 4).
Stage 1-2 Pelvic endometriosis. Endometriosis, Nature Reviews Disease Primer, 2018, Vol 4(1) pp.9
Stage 3-4 Pelvic endometriosis. Endometriosis, Nature Reviews Disease Primer, 2018, Vol 4(1) pp.9
Diagnosing and Treating Endometriosis
-
The condition is estimated to affect 1 in 10 women in their reproductive years, with a range of symptoms having a significant effect on their lives. Typical symptoms range from cyclical to constant pelvic and abdominal pain, painful sex, painful bowel motions, headaches, migraines, and nausea. Some women do not experience any symptoms. There is no correlation between the quantity of endometriosis and the severity of the symptoms. Endometriosis can also cause problems for women trying to conceive. Up to 50% of women with infertility will be found to have endometriosis.
-
The cause of endometriosis is unknown, but several theories exist. Many factors are likely to contribute to the formation of endometriosis, including genetic or familial predisposition, environmental and immunological factors, and spontaneous changes in the cells lining the pelvic cavity. Like the endometrium lining of the womb, endometriotic growths swell and react to the monthly hormonal cycle. It can be useful to think of the implants as being like blisters containing endometrial tissue. The body responds by surrounding the affected areas with new scar tissue. The formation of scar tissue (adhesions) can result in damage to pelvic organs and may cause these organs to stick together, unable to move freely. Over time, the endometrial tissue may also enlarge and form cysts, particularly in the ovaries.
-
Unfortunately, there is no simple screening test (such as a blood test) for endometriosis. Dr Wynn-Williams can perform transvaginal ultrasound (see here) that can be very useful in the diagnosis of deep infiltrating endometriosis in the pelvis, bowel, and bladder. A negative ultrasound does not rule out that endometriosis is present. MRI can also be useful but can be expensive. Ultimately, to make a diagnosis of endometriosis, Dr Wynn-Williams will rely on listening to each woman’s symptoms, the effects these symptoms are having on her life, and the examination findings.
-
The diagnosis is confirmed by laparoscopy (keyhole surgery), with excision (resection) treatment being done simultaneously. Surgery is performed under a general anaesthetic, with a hospital stay ranging from day stay to several days in the hospital (in cases of extensive complex procedures involving the bowel). Dr Wynn-Williams has extensive experience with the surgical management of all stages and locations of endometriosis. He works with a multi-disciplinary team to manage your symptoms and avoid repeat surgery procedures.
-
Medical therapy with hormones has been shown to reduce pain and may have a role in managing disease in conjunction with surgery. There is no evidence to indicate that hormone treatment improves fertility. The most common hormonal therapies used by Dr Wynn-Williams include the combined oral contractive pill and the Mirena IUCD.
-
Unfortunately, like anyone who has experienced pain for a long time, women with endometriosis can be predisposed to developing persistent pain (link to page). Persistent pelvic pain is caused by changes in the central and peripheral nervous system. Ultimately such pain affects a woman’s mood, quality of sleep, bladder (frequent urination or pain), bowel functioning (bloating), and the ability to relax the pelvic floor. Dr Wynn-Williams has extensive experience in working with women who have persistent pelvic pain. Treatments include pelvic physiotherapy, pelvic floor botox, pain psychology, and drug therapy.
-
Complementary therapies are helpful in the treatment of endometriosis. They can relieve the symptoms and may also assist the body to recover from drug or surgical procedures. Some women also find that natural and alternative therapies provide them with a sense of control. There are a vast number of therapies available. Those used most commonly in the treatment of endometriosis involve dietary changes, exercise, herbal medicine, Traditional Chinese Medicine (TCM), aromatherapy, homeopathy, massage, and yoga.
A pelvis after complete excision of endometriosis, including shaving of the above rectal muscularis nodule.
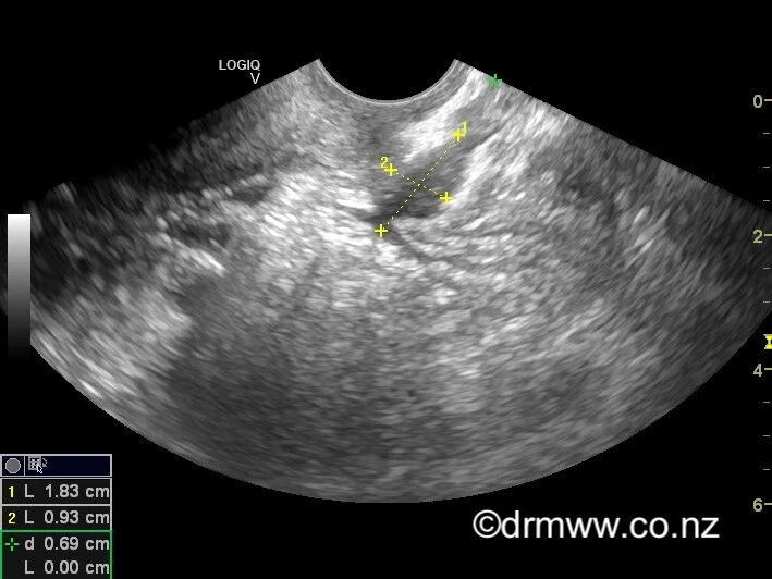
Rectal Muscularis Endometriosis nodule seen on TVUS
Dr Michael Wynn-Williams
MBChB (Otago), FRANZCOG
Gynaecologist, Advanced Laparoscopic Surgeon, Endometriosis and Pelvic Pain Specialist
Dr Michael Wynn-Williams is a highly experienced Auckland gynaecologist and laparoscopic surgeon, specialising in the treatment of endometriosis, fibroids, pelvic pain, and ovarian cysts. With a commitment to minimally invasive surgery and evidence-based practice, he helps women across tNew Zealand achieve better outcomes with empathy, precision, and respect
Endometriosis Resources
-

Endometriosis and Pelvic Pain
Book by Dr Susan Evans
I recommend all my patients read this excellent book by Dr Susan Evans. We also sell hard copies in the rooms.
-

Endometriosis and Pelvic Pain for Teens
by Dr Susan Evans, eBook
I recommend all my younger patients read this excellent book by Dr Susan Evans. We also sell hard copies in the rooms.
-

RANZCOG Endometriosis Patient Information
-

Patient Information - Resection of Endometriosis
AGES VIDEO
This is "Patient Information - Resection of Endometriosis" by AGES on Vimeo, the home for high quality videos and the people who love them.
-

RANZCOG Raising Awareness Tool for Endometriosis (RATE)
A new quick-to-use electronic resource for health professionals and their patients to help identify and assess endometriosis – and endometriosis-associated symptoms – to reach a faster diagnosis and achieve more effective management of symptoms.
-

Endometriosis and the bowel
Endometriosis Australia Blog
by Dr Michael Wynn-Williams
-

Endometriosis and the urinary tract
Endometriosis Australia Blog
by Dr Michael Wynn-Williams
-

Endometriosis of the diaphragm and the chest
Endometriosis Australia Blog
by Dr Michael Wynn-Williams
-

Endometriosis New Zealand
-

QENDO
-

EndoActive
-

ESHRE 2022 Endometriosis Patient Information
-

Health Navigator NZ -Endometriosis Information
-

Endozone Australia
-

Podcast - Unheard of - The hidden voices of Endometriosis